Cómo afecta el tabaco en tu salud bucal
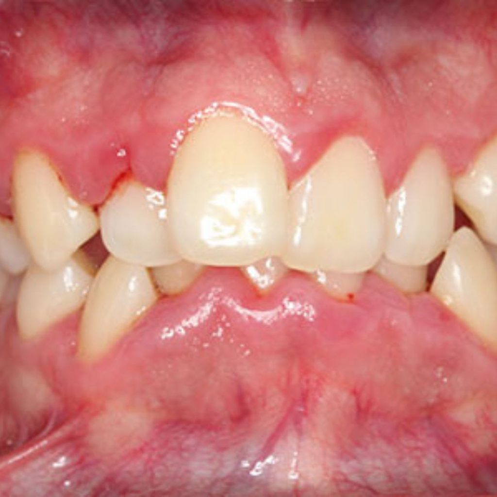
Uno de los hábitos más perniciosos para la salud es el tabaco. De hecho según Sanidad, en España mueren al […]
Uno de los hábitos más perniciosos para la salud es el tabaco. De hecho según Sanidad, en España mueren al […]
Las manchas en los dientes suelen ser una de las causas principales por la que muchas personas no se sienten
Durante los primeros años de vida se pueden adquirir una serie de hábitos que deberían ser corregidos para evitar posibles
Todos los padres quieren lo mejor para sus hijos, y ser conscientes de la importancia del cuidado de la boca
¿Te tienen que hacer una endodoncia o crees que la necesitas? Tranquilo es uno de los tratamientos más realizados en
¿Te incomoda tu sonrisa? ¿Crees que puedes mejorarla? Pues no esperes más, nunca es tarde para lucir una sonrisa perfecta.
Si aún no habéis hecho vuestros propósitos para el año nuevo, quizás, mejorar vuestra sonrisa con un tratamiento de ortodoncia
Casi sin darnos cuenta ha llegado la Navidad. Esta época del año en la que más compromisos sociales tenemos: comidas
Ante la perdida de un diente una de las practicas más habituales suele ser la implantología. Consiste en la colocación
El apiñamiento dental es uno de los motivos más frecuentes por los que los pacientes acuden al dentista. Además de afectar